När: Torsdag 23 oktober 2025
Tid: 18.00 – 21.00
Plats: GTS Konferens & Festvåning, Erik Dahlbergsgatan 9
Kostnad: 1,125 kr inklusive middag
Kursvärd: Eva Rydhammer
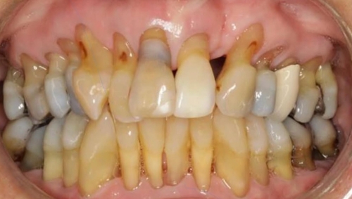
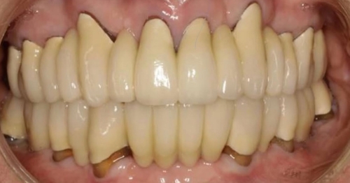
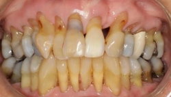
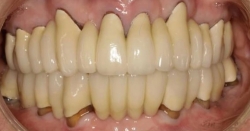
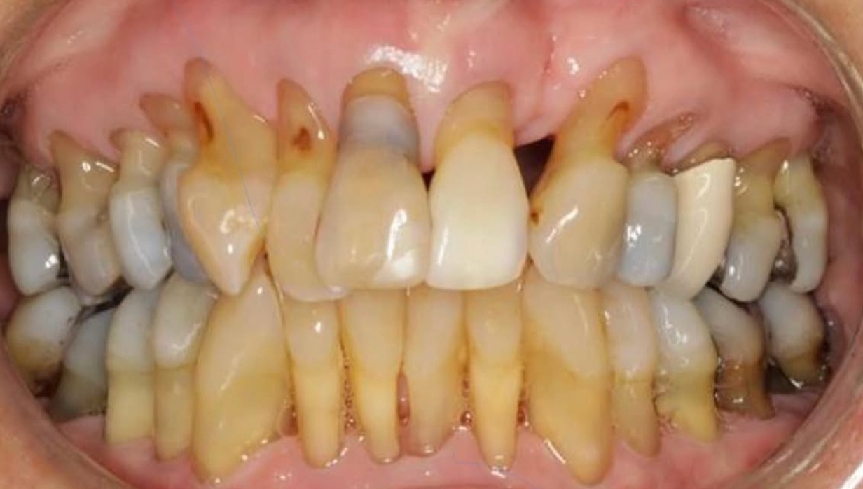
Protetik handlar om så mycket och jag vill välkomna er till en liten del av min protetiska värld där vi ska djupdyka i några fall och prata bland annat om det populära keramiska materialet zirkonia. Mitt mål är att genom fallen ge er tips och inspiration kombinerat med vetenskaplig litteratur. Här är några ämnen som ska tas upp under föreläsningen:
• Keramiska material
• Blekning/mikroabrasion
• Mjölktänder (extrahera/behålla)
• Etsbro
Anmälan till: info@gtskansli.se
Endast för GTS-medlemmar.
Välkommen!





